Ciencia y Tecnología
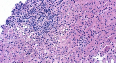
Según un equipo internacional de científicos de la Universidad Estatal de Washington (EEUU) y de la Escuela Imperial de Londres (Reino Unido), la hepatitis viral —al igual que el VIH y la tuberculosis— es una de las causas principales de minusvalías y muertes en todo el mundo, informó el portal EurekAlert!
Un equipo de arqueólogos ha descubierto un singular enterramiento en las antiguas ruinas de Teotihuacán que albergaba un esqueleto de 1.600 años de antigüedad perteneciente a una mujer de la aristocracia con el cráneo elongado, incrustaciones de pirita en los dientes y una pieza dental prostética hecha de una piedra verde conocida como serpentina. Fue enterrada junto con 19 vasijas de ofrendas.
La compañía checa de software de seguridad informática tomó la decisión de adquirir a su competidora holandesa con el objetivo de expandir su presencia en los mercados emergentes
Más...
Google presenta una herramienta para recopilar información sobre sus usuarios que, sin embargo, permite a estos 'prohibir' al gigante tecnológico que registre sus movimientos.
El F-35 —avión de combate polivalente de quinta generación— es el más avanzado en el arsenal del Pentágono.
El Gran Colisionador de Hadrones, situado en el laboratorio de física de altas energías del CERN —Organización Europea para la Investigación Nuclear— volvió a sorprender a los científicos y causó preocupación en los ciudadanos, escribe el diario digital The Sun.
