Internacional
LUXEMBURGO (AFP).- A partir del verano boreal, los habitantes de Luxemburgo no deberán pagar para moverse en transporte público en las ciudades del país.
Tras seis meses de deleitar a medio millón de seguidores en Instagram con fotos de sus viajes por el mundo, Adrienne Koleszar se enfrenta a una encrucijada.
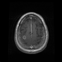
Los especialistas explican que en vez de utilizar una solución salina o agua estéril para la irrigación, la mujer utilizó agua del grifo, donde habitaban los organismos nocivos.
Más...
Las autoridades de EE.UU. han estado investigando al gigante chino al menos desde 2016 por el presunto envío de productos de origen estadounidense a Irán.
Con este nuevo anuncio, el Gobierno francés pretende evitar a toda costa que se repitan este sábado las escenas de guerrilla urbana de la protesta del pasado 1 de diciembre en París
Con la puesta en marcha de nuevos radares de alerta temprana, la Fuerza Aeroespacial de Rusia restauró un campo de radar continuo que cubre en todas las direcciones la enorme frontera del país.
El exmandatario fue incluido en el proceso judicial que se lleva a cabo en Ecuador por el secuestro del político Fernando Balda.
