Internacional
Sophie Turner gana cerca de 207.000 dólares por episodio, mientras que el actor que interpreta a 'Jon Snow' ha visto cómo le subían el sueldo desde 485.000 a más de 700.000 dólares por capítulo.
Samantha Josephson fue vista por última vez a las afueras de un bar mientras esperaba un taxi. Fue reportada como desaparecida por sus amigos porque nunca llegó a su casa.
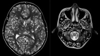
Tras practicarle una resonancia magnética y exámenes de ultrasonido, los especialistas encontraron que la corteza cerebral y el tronco encefálico del paciente estaban llenos de larvas.
Más de 4.400 afroamericanos fueron linchados entre 1877 y 1950 como un espectáculo público, según los datos recabados recientemente por la Iniciativa para una Justicia Igualitaria
Más...
El voto en contra aboca al Reino Unido a decidir el 12 de abril entre una salida abrupta o una prórroga larga
El Pontífice promulgó una nueva y amplia legislación sobre abusos sexuales para el personal del Vaticano y los diplomáticos de la Santa Sede
La joven viajera francesa se dio cuenta de la presencia del dispositivo de filmación cuando terminaba de ducharse en un hostal australiano.
La joven, de 19 años, fue acusada de "imprudencia temeraria" al "provocar un riesgo sustancial de muerte o lesiones físicas graves" a su amiga.
